Vascular Disease

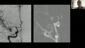
1st Latin American Grand Rounds-Part 2 Endovascular Treatment MCA Aneurysms; Dr. Giancarlo Saal Zapata MD; Johan Choque Velasquez MD, PhD., Organizer
1st Latin American Grand Rounds-Part 2 Endovascular Treatment MCA Aneurysms; Dr. Giancarlo Saal Zapata MD; Johan Choque Velasquez MD, PhD., Organizer
1st Latin American Grand Rounds; Endovascular Treatment
1st Latin American Neurosurgery Grand Rounds; MCA Aneurysms; Surgery; Part 1; Surgery;  Dr. Kléber Eduardo González Echiverria  of Ecuador; Dr. Joham Choque-Velasquez; Organizer.
1st Latin American Neurosurgery Grand Rounds; MCA Aneurysms; Surgery; Part 1; Surgery; Dr. Kléber Eduardo González Echiverria of Ecuador; Dr. Joham Choque-Velasquez; Organizer.
Management of MCA Aneurysms; Clip or Coil Part 1 Surgery
Anterior Communicating Aneurysms-Case Video
Anterior Communicating Aneurysms-Case Video
Dakar, Senegal; Africa
Anterior Communicating Artery Aneurysms- Hernesniemi's Perspective.
Anterior Communicating Artery Aneurysms- Hernesniemi's Perspective.
A Com Aneurysms; Hernesniemi Perspective
Anterior Communicating Artery Aneurysms; Dr. Mbaye Thioub
Anterior Communicating Artery Aneurysms; Dr. Mbaye Thioub
A Com Aneurysm; Operative Video Dr. Thioub
Clipping or endovascular Treatment for Intracranial Aneurysms; Dr. Raphael Tamargo. Recurrence with endovascular treatment is 20% vs 3% for clipping
Clipping or endovascular Treatment for Intracranial Aneurysms; Dr. Raphael Tamargo. Recurrence with endovascular treatment is 20% vs 3% for clipping
Clipping or Endovascular Treatment for Intracranial Aneurysms: What is best in 2025?
Clipping vs Endovascular Treatment in 2025; Retreatment failure rate for endovascular is 20% and clipping 3%; What is the best? Dr. Rafael Tamargo
Clipping vs Endovascular Treatment in 2025; Retreatment failure rate for endovascular is 20% and clipping 3%; What is the best? Dr. Rafael Tamargo
Clipping vs Endovascular; Treatment of Intracranial Aneurysms. Retreatment failures 20% in endovascular.
Creativity in Functional Neurosurgery; Dr A DeSalles; Dr. A Gorgulho; Molecular Surgery; MIS; Depression; Addiction; Movement disorders; Ultrasound; Stereotactic and Functional. Neurosurgery; Parkinson's, Tremors
Creativity in Functional Neurosurgery; Dr A DeSalles; Dr. A Gorgulho; Molecular Surgery; MIS; Depression; Addiction; Movement disorders; Ultrasound; Stereotactic and Functional. Neurosurgery; Parkinson's, Tremors
Future: Stereotactic & Functional; Molecular Surgery, Depression, Addiction; OCD; Cell and Tract disorders
EC IC Bypass
EC IC Bypass
EC IC Bypass
EC-IC BYpass for Cerebral Ischemia; Eric Nussbaum, MD; Part 1
EC-IC BYpass for Cerebral Ischemia; Eric Nussbaum, MD; Part 1
Large Volume Clinical Experience, EC-IC Bypass for Cerebral Ischemia
Endovascular Management of Giant Intracrianal Aneurysms; Dr. Angel Ferrario.
Endovascular Management of Giant Intracrianal Aneurysms; Dr. Angel Ferrario.
Management of Giant Cerebral Aneurysms
Giant R MCA Aneurysm; Dr. James Ausman; Direct surgery; 2012
Giant R MCA Aneurysm; Dr. James Ausman; Direct surgery; 2012
Giant R MCA Aneurysm Dr James Ausman;
Glasgow Neuro-2022; YNSS; Yun Yan Wong; Treatment of Post stroke Cognition problems
Glasgow Neuro-2022; YNSS; Yun Yan Wong; Treatment of Post stroke Cognition problems
Glasgow Neuro; YNSS; Treatment of post-stroke cognition decline; failure of xanthine oxidase Rx
Glasgow Neuro; YNSS; Abdullah Aziz; Carotid Artery Stenosis
Glasgow Neuro; YNSS; Abdullah Aziz; Carotid Artery Stenosis
Glasgow Neuro; YNSS; Comparaison of CEA, CAS, and TCAR in the treatment of Carotid Stenosis
History of Cerebrovascular Disease Management;  James Ausman; Posterior Circulation Disease; VBI; cerebrovascular disease; surgery; Medical; Interventional; New treatments; Future
History of Cerebrovascular Disease Management; James Ausman; Posterior Circulation Disease; VBI; cerebrovascular disease; surgery; Medical; Interventional; New treatments; Future
History Cerebrovascular Disease; Posterior Circulation Disease; new concepts;
How we built a Neuroscience Center in Punjab Pakistan serving 160 million people; Drs Asif Bashir, Qasim Bashir, Ghaus Malik
How we built a Neuroscience Center in Punjab Pakistan serving 160 million people; Drs Asif Bashir, Qasim Bashir, Ghaus Malik
Building a First Rate Neuroscience Center in Pakistan for 16o million people
How we built a Stroke Center program in a LMIC for 160 million people? Qasim Bashir; Asif Bashir
How we built a Stroke Center program in a LMIC for 160 million people? Qasim Bashir; Asif Bashir
Building a Stroke Center program in a LMIC for 160 million. people
Intra operative Ultra sound in Neurosurgery; Neuro-oncology; Dr. Wameedth Matti;
Intra operative Ultra sound in Neurosurgery; Neuro-oncology; Dr. Wameedth Matti;
Surgery Brain Tumors; Case Presentations; Intra-operative ultrasound
Latin American Neurosurgery Grand Rounds; Middle Cerebral Aneurysms; Dr. Kléber Eduardo González Echiverria of Ecuador.  Dr Gonzales-Echiverria; Dr. Joham Choque-Velasquez; Organizer;
Latin American Neurosurgery Grand Rounds; Middle Cerebral Aneurysms; Dr. Kléber Eduardo González Echiverria of Ecuador. Dr Gonzales-Echiverria; Dr. Joham Choque-Velasquez; Organizer;
MCA Aneurysm Treatment Controversy
Lazareff Philosophy Series: #4
Lazareff Philosophy Series: #4
Lecture # 4; Reasoning in Research: Induction, Deduction, Abduction using EC-IC study as example
Management of Cerebral AVMs- >800 cases; Dr. Ghaus Malik; Part 2
Management of Cerebral AVMs- >800 cases; Dr. Ghaus Malik; Part 2
Management of Cerebral AVMs; 800 cases; Dr. Ghaus Malik; Part 2
Management of Cerebral AVMs; Part 1; Dr. Ghaus Malik; >800 cases
Management of Cerebral AVMs; Part 1; Dr. Ghaus Malik; >800 cases
Management of Cerebral AVMs, >800 cases; Dr. Ghaus Malik
Management of ICH; AVM;  Cavernous Angioma; Cavernoma
Management of ICH; AVM; Cavernous Angioma; Cavernoma
Global Management of ICH from different causes.
Management of SAH in any environment; An Interactive Global Discussion
Management of SAH in any environment; An Interactive Global Discussion
Management of SAH in any Environment; An Interactive Global discussion
Mechanical Thrombectomy for Cerebral Venous Thrombosis(CVST) in Pregnancy: Case Report and Review of Literature; Khalif Abdifatah, MD. Kenya
Mechanical Thrombectomy for Cerebral Venous Thrombosis(CVST) in Pregnancy: Case Report and Review of Literature; Khalif Abdifatah, MD. Kenya
Management of Cerebral Venous Thrombisis
Molceular Basis of Cerebral Aneurysm Formation; Dr. Blaylock Reports
Molceular Basis of Cerebral Aneurysm Formation; Dr. Blaylock Reports
Molecular Basis of Cerebral Aneurysm Formation
Molecular Treatment of Specific Genetic Cause of AVM; AVM; Guillaume Canaud , MD
Molecular Treatment of Specific Genetic Cause of AVM; AVM; Guillaume Canaud , MD
Science News: Medical treatment of Specific Genetic cause of AVM
Pediatric Neuro-Critical Care: Improvements in Survivals
Pediatric Neuro-Critical Care: Improvements in Survivals
Pediatric Neuro-Critical Care: Improvements in Survivals
Pediatric Neurosurgery; Drs. Verdier, Petre; Argentina; AVM Removal
Pediatric Neurosurgery; Drs. Verdier, Petre; Argentina; AVM Removal
Microsurgical Removal of Posterior, Inferior, Mesial, Temporal, AVM
Scrub with me!  Advice from the Experts: How I do it?
Scrub with me! Advice from the Experts: How I do it?
Scrub with me: Advice from the Experts: Cerebral Aneurysm; Hernesniemi
Sub-Saharan African Grand Rounds #4; Total meeting; Tele-proctoring; Management of SAH in any Environment
Sub-Saharan African Grand Rounds #4; Total meeting; Tele-proctoring; Management of SAH in any Environment
Grand Rounds Sub-Saharan Africa; Teleproctoring; Management of SAH in any environment
The Future of Neurosurgery and Medicine; James Ausman MD; Lenticulostriate arteries; Atherosclerosis Treatment; Macrophages and Aneurysm growth; Micron-vascular disease Treatment
The Future of Neurosurgery and Medicine; James Ausman MD; Lenticulostriate arteries; Atherosclerosis Treatment; Macrophages and Aneurysm growth; Micron-vascular disease Treatment
The Future of Neurosurgery 2100-Dr. Ausman's view
UCLA 101 Neurosurgery Series; Neurosurgery; Neuroradiology; Cerebral Blood Vessels;  Noriko Salamon, MD
UCLA 101 Neurosurgery Series; Neurosurgery; Neuroradiology; Cerebral Blood Vessels; Noriko Salamon, MD
UCLA 101 Neurosurgery Series; Neuroradiology; EC & IC vasculature
UCLA 101 Neurosurgery Series; Skull Base and Vascular Neurosurgery: Jacques Morcos; MD
UCLA 101 Neurosurgery Series; Skull Base and Vascular Neurosurgery: Jacques Morcos; MD
UCLA 101 Neurosurgery Series; Jacques Morcos; Personal experience: Skull base surgery and bypass surgery
UCLA 101 Neurosurgery Series: Robert E. Gross, MD, PhD; Epilepsy Surgery
UCLA 101 Neurosurgery Series: Robert E. Gross, MD, PhD; Epilepsy Surgery
UCLA 101 Neurosurgery Series; Robert Gross; Development of Epilepsy surgery to Present
Young Neurosurgeons Discussions with the Experts; EC-IC Bypass Surgery 1980-2025
Young Neurosurgeons Discussions with the Experts; EC-IC Bypass Surgery 1980-2025
Young Neurosurgeons Discussions with the Experts; EC-IC Bypass surgery 1980-2025
Young Neurosurgeons Discussions with the Experts; EC-IC Bypass Surgery 1980-2025
Young Neurosurgeons Discussions with the Experts; EC-IC Bypass Surgery 1980-2025
Young Neurosurgeons Discussions with the Experts; EC-IC Bypass Surgery 1980-2025
Young Neurosurgeons Discussions with the Experts; EC-IC Bypass Surgery; 1980-2025
Young Neurosurgeons Discussions with the Experts; EC-IC Bypass Surgery; 1980-2025
Young Neurosurgeons Discussions with the Experts; EC-IC Bypass surgery 1980-2025
Young Neurosurgeons Discussions with the Experts; EC-IC Bypass Surgery; 1980-2025
Young Neurosurgeons Discussions with the Experts; EC-IC Bypass Surgery; 1980-2025
Young Neurosurgeons Discussions with the Experts; EC-IC Bypass Surgery; 1980-2025

AVMs

Deep Brainstem Cavernous Malformations; How I do It. Gary Steinberg, MD, PhD
Deep Brainstem Cavernous Malformations; How I do It. Gary Steinberg, MD, PhD
Deep Brainstem Cavernous Malformations; How I do It.
Full 22nd Baghdad Meeting; Pediatric Neurosurgery
Full 22nd Baghdad Meeting; Pediatric Neurosurgery
Full 22nd Baghdad Meeting; Pediatric Neurosurgery
Management of Cerebral AVMs- >800 cases; Dr. Ghaus Malik; Part 2
Management of Cerebral AVMs- >800 cases; Dr. Ghaus Malik; Part 2
Management of Cerebral AVMs; 800 cases; Dr. Ghaus Malik; Part 2
Management of Cerebral AVMs; Part 1; Dr. Ghaus Malik; >800 cases
Management of Cerebral AVMs; Part 1; Dr. Ghaus Malik; >800 cases
Management of Cerebral AVMs, >800 cases; Dr. Ghaus Malik
Management of ICH; AVM;  Cavernous Angioma; Cavernoma
Management of ICH; AVM; Cavernous Angioma; Cavernoma
Global Management of ICH from different causes.
Management of SAH in any Environment-An Interactive Discussion
Management of SAH in any Environment-An Interactive Discussion
Managing SAH in any environment; A Interactive Discussion
Management of SAH in any environment; An Interactive Global Discussion
Management of SAH in any environment; An Interactive Global Discussion
Management of SAH in any Environment; An Interactive Global discussion
Molecular Treatment of Specific Genetic Cause of AVM; AVM; Guillaume Canaud , MD
Molecular Treatment of Specific Genetic Cause of AVM; AVM; Guillaume Canaud , MD
Science News: Medical treatment of Specific Genetic cause of AVM
Pediatric Neuro-Critical Care: Improvements in Survivals
Pediatric Neuro-Critical Care: Improvements in Survivals
Pediatric Neuro-Critical Care: Improvements in Survivals
Pediatric Neurosurgery; Drs. Verdier, Petre; Argentina; AVM Removal
Pediatric Neurosurgery; Drs. Verdier, Petre; Argentina; AVM Removal
Microsurgical Removal of Posterior, Inferior, Mesial, Temporal, AVM
Scrub with me!  Advice from the Experts: How I do it?
Scrub with me! Advice from the Experts: How I do it?
Scrub with me: Advice from the Experts: Cerebral Aneurysm; Hernesniemi
Sub-Saharan African Grand Rounds #4; Total meeting; Tele-proctoring; Management of SAH in any Environment
Sub-Saharan African Grand Rounds #4; Total meeting; Tele-proctoring; Management of SAH in any Environment
Grand Rounds Sub-Saharan Africa; Teleproctoring; Management of SAH in any environment
Tele-proctoring in Neurosurgery
Tele-proctoring in Neurosurgery
Use of Tele-proctoring in Neurosurgery

Atherosclerosis

Basilar Thrombosis

Carotid Artery Disease

CEA (Carotid Endarterectomy)

CAR (Carotid Artery Revascularization) Interventional

TCAR (Trans Carotid Artery Revascularization)

Cavernomas

Cerebral Aneurysms

1st Latin American Grand Rounds-Part 2 Endovascular Treatment MCA Aneurysms; Dr. Giancarlo Saal Zapata MD; Johan Choque Velasquez MD, PhD., Organizer
1st Latin American Grand Rounds-Part 2 Endovascular Treatment MCA Aneurysms; Dr. Giancarlo Saal Zapata MD; Johan Choque Velasquez MD, PhD., Organizer
1st Latin American Grand Rounds; Endovascular Treatment
1st Latin American Neurosurgery Grand Rounds; MCA Aneurysms; Surgery; Part 1; Surgery;  Dr. Kléber Eduardo González Echiverria  of Ecuador; Dr. Joham Choque-Velasquez; Organizer.
1st Latin American Neurosurgery Grand Rounds; MCA Aneurysms; Surgery; Part 1; Surgery; Dr. Kléber Eduardo González Echiverria of Ecuador; Dr. Joham Choque-Velasquez; Organizer.
Management of MCA Aneurysms; Clip or Coil Part 1 Surgery
A Com Aneurysm Surgery; Dr. Mbaye Thioub
A Com Aneurysm Surgery; Dr. Mbaye Thioub
A Com Aneurysm Surgery;
A Com Aneurysm Surgery; Dr. Mbaye Thioub
A Com Aneurysm Surgery; Dr. Mbaye Thioub
A Com Aneurysm Surgery; Dr. Mbaye Thioub
Anterior Communicating Aneurysms-Case Video
Anterior Communicating Aneurysms-Case Video
Dakar, Senegal; Africa
Anterior Communicating Artery Aneurysms- Hernesniemi's Perspective.
Anterior Communicating Artery Aneurysms- Hernesniemi's Perspective.
A Com Aneurysms; Hernesniemi Perspective
Anterior Communicating Artery Aneurysms; Dr. Mbaye Thioub
Anterior Communicating Artery Aneurysms; Dr. Mbaye Thioub
A Com Aneurysm; Operative Video Dr. Thioub
Building a Neuroscience Center in Punjab Pakistan; Drs Qasim and Asif Bashir; Building a Stroke Center Program
Building a Neuroscience Center in Punjab Pakistan; Drs Qasim and Asif Bashir; Building a Stroke Center Program
Neuroscience Center; Stroke Center in Pakistan.
Clipping or endovascular Treatment for Intracranial Aneurysms; Dr. Raphael Tamargo. Recurrence with endovascular treatment is 20% vs 3% for clipping
Clipping or endovascular Treatment for Intracranial Aneurysms; Dr. Raphael Tamargo. Recurrence with endovascular treatment is 20% vs 3% for clipping
Clipping or Endovascular Treatment for Intracranial Aneurysms: What is best in 2025?
Clipping vs Endovascular Treatment in 2025; Retreatment failure rate for endovascular is 20% and clipping 3%; What is the best? Dr. Rafael Tamargo
Clipping vs Endovascular Treatment in 2025; Retreatment failure rate for endovascular is 20% and clipping 3%; What is the best? Dr. Rafael Tamargo
Clipping vs Endovascular; Treatment of Intracranial Aneurysms. Retreatment failures 20% in endovascular.
EC-IC Bypass for Cerebral Aneurysms, Skull base lesions; Eric Nussbaum, MD -Part 2
EC-IC Bypass for Cerebral Aneurysms, Skull base lesions; Eric Nussbaum, MD -Part 2
EC-IC Bypass for Cerebral Aneurysms, Skull base lesions
Endovascular Management of Giant Intracrianal Aneurysms; Dr. Angel Ferrario.
Endovascular Management of Giant Intracrianal Aneurysms; Dr. Angel Ferrario.
Management of Giant Cerebral Aneurysms
Giant R MCA Aneurysm; Dr. James Ausman; Direct surgery; 2012
Giant R MCA Aneurysm; Dr. James Ausman; Direct surgery; 2012
Giant R MCA Aneurysm Dr James Ausman;
How we built a Neuroscience and Stroke Center in Punjab Pakistan; Drs. Asif Bashir, Qasim Bashir; and Ghaus Malik
How we built a Neuroscience and Stroke Center in Punjab Pakistan; Drs. Asif Bashir, Qasim Bashir; and Ghaus Malik
Building a Neuroscience and Stroke Center in Pakistan
Latin American Neurosurgery Grand Rounds; Middle Cerebral Aneurysms; Dr. Kléber Eduardo González Echiverria of Ecuador.  Dr Gonzales-Echiverria; Dr. Joham Choque-Velasquez; Organizer;
Latin American Neurosurgery Grand Rounds; Middle Cerebral Aneurysms; Dr. Kléber Eduardo González Echiverria of Ecuador. Dr Gonzales-Echiverria; Dr. Joham Choque-Velasquez; Organizer;
MCA Aneurysm Treatment Controversy
Management of SAH in any Environment-An Interactive Discussion
Management of SAH in any Environment-An Interactive Discussion
Managing SAH in any environment; A Interactive Discussion
Management of SAH in any environment; An Interactive Global Discussion
Management of SAH in any environment; An Interactive Global Discussion
Management of SAH in any Environment; An Interactive Global discussion
Molceular Basis of Cerebral Aneurysm Formation; Dr. Blaylock Reports
Molceular Basis of Cerebral Aneurysm Formation; Dr. Blaylock Reports
Molecular Basis of Cerebral Aneurysm Formation
Scrub with me!  Advice from the Experts: How I do it?
Scrub with me! Advice from the Experts: How I do it?
Scrub with me: Advice from the Experts: Cerebral Aneurysm; Hernesniemi
Solving Complex Problems in Neurosurgery and Life
Solving Complex Problems in Neurosurgery and Life
Personal Growth: Solving Complex Problems in Neurosurgery and Life
Sub-Saharan African Grand Rounds #4; Total meeting; Tele-proctoring; Management of SAH in any Environment
Sub-Saharan African Grand Rounds #4; Total meeting; Tele-proctoring; Management of SAH in any Environment
Grand Rounds Sub-Saharan Africa; Teleproctoring; Management of SAH in any environment
SubSaharan Grand Rounds: Acom Aneurysm Review; Acom Aneurysms and Video; Cerebral Plasmacytoma.
SubSaharan Grand Rounds: Acom Aneurysm Review; Acom Aneurysms and Video; Cerebral Plasmacytoma.
Subsharan Grand Rounds; Aneurysm and Neoplasm topics
Surgery for ACom Aneurysm; Dr. Mbaye Thioub;
Surgery for ACom Aneurysm; Dr. Mbaye Thioub;
A Com Aneurysm Surgery; Operative Video
Tele-proctoring in Neurosurgery
Tele-proctoring in Neurosurgery
Use of Tele-proctoring in Neurosurgery
The Future of Neurosurgery and Medicine; James Ausman MD; Lenticulostriate arteries; Atherosclerosis Treatment; Macrophages and Aneurysm growth; Micron-vascular disease Treatment
The Future of Neurosurgery and Medicine; James Ausman MD; Lenticulostriate arteries; Atherosclerosis Treatment; Macrophages and Aneurysm growth; Micron-vascular disease Treatment
The Future of Neurosurgery 2100-Dr. Ausman's view
UCLA 101 Neurosurgery Series; Skull Base and Vascular Neurosurgery: Jacques Morcos; MD
UCLA 101 Neurosurgery Series; Skull Base and Vascular Neurosurgery: Jacques Morcos; MD
UCLA 101 Neurosurgery Series; Jacques Morcos; Personal experience: Skull base surgery and bypass surgery

Cerebral Blood Vessels; See Neuroradiology

Cerebral Venous Sinus Thrombosis

EC-IC Bypass

Building a Neuroscience Center in Punjab Pakistan; Drs Qasim and Asif Bashir; Building a Stroke Center Program
Building a Neuroscience Center in Punjab Pakistan; Drs Qasim and Asif Bashir; Building a Stroke Center Program
Neuroscience Center; Stroke Center in Pakistan.
EC IC Bypass
EC IC Bypass
EC IC Bypass
EC-IC Bypass for Cerebral Aneurysms, Skull base lesions; Eric Nussbaum, MD -Part 2
EC-IC Bypass for Cerebral Aneurysms, Skull base lesions; Eric Nussbaum, MD -Part 2
EC-IC Bypass for Cerebral Aneurysms, Skull base lesions
EC-IC BYpass for Cerebral Ischemia; Eric Nussbaum, MD; Part 1
EC-IC BYpass for Cerebral Ischemia; Eric Nussbaum, MD; Part 1
Large Volume Clinical Experience, EC-IC Bypass for Cerebral Ischemia
History of Cerebrovascular Disease Management;  James Ausman; Posterior Circulation Disease; VBI; cerebrovascular disease; surgery; Medical; Interventional; New treatments; Future
History of Cerebrovascular Disease Management; James Ausman; Posterior Circulation Disease; VBI; cerebrovascular disease; surgery; Medical; Interventional; New treatments; Future
History Cerebrovascular Disease; Posterior Circulation Disease; new concepts;
Lazareff Philosophy Series: #4
Lazareff Philosophy Series: #4
Lecture # 4; Reasoning in Research: Induction, Deduction, Abduction using EC-IC study as example
Solving Complex Problems in Neurosurgery and Life
Solving Complex Problems in Neurosurgery and Life
Personal Growth: Solving Complex Problems in Neurosurgery and Life
The Future of Neurosurgery and Medicine; James Ausman MD; Lenticulostriate arteries; Atherosclerosis Treatment; Macrophages and Aneurysm growth; Micron-vascular disease Treatment
The Future of Neurosurgery and Medicine; James Ausman MD; Lenticulostriate arteries; Atherosclerosis Treatment; Macrophages and Aneurysm growth; Micron-vascular disease Treatment
The Future of Neurosurgery 2100-Dr. Ausman's view
UCLA 101 Neurosurgery Series; EC-IC Bypass for Moyamoya and Cerebral Ischemia; Jacques Morcos
UCLA 101 Neurosurgery Series; EC-IC Bypass for Moyamoya and Cerebral Ischemia; Jacques Morcos
UCLA 101 Neurosurgery Series; Jacques Morcos; EC-IC bypass for Moya-Moya and CVD; intraoperative flow measurements
UCLA 101 Neurosurgery Series; Skull Base and Vascular Neurosurgery: Jacques Morcos; MD
UCLA 101 Neurosurgery Series; Skull Base and Vascular Neurosurgery: Jacques Morcos; MD
UCLA 101 Neurosurgery Series; Jacques Morcos; Personal experience: Skull base surgery and bypass surgery
Young Neurosurgeons Discussions with the Experts; 1985-2025
Young Neurosurgeons Discussions with the Experts; 1985-2025
Young Neurosurgeons Discussions with the Experts; 1985-2025
Young Neurosurgeons Discussions with the Experts; EC IC Bypass surgery 1980-2025
Young Neurosurgeons Discussions with the Experts; EC IC Bypass surgery 1980-2025
Young Neurosurgeons Discussions with the Experts :1980-2025
Young Neurosurgeons Discussions with the Experts; EC-IC Bypass Surgery 1980-2025
Young Neurosurgeons Discussions with the Experts; EC-IC Bypass Surgery 1980-2025
Young Neurosurgeons Discussions with the Experts; EC-IC Bypass surgery 1980-2025
Young Neurosurgeons Discussions with the Experts; EC-IC Bypass Surgery 1980-2025
Young Neurosurgeons Discussions with the Experts; EC-IC Bypass Surgery 1980-2025
Young Neurosurgeons Discussions with the Experts; EC-IC Bypass Surgery 1980-2025
Young Neurosurgeons Discussions with the Experts; EC-IC Bypass Surgery; 1980-2025
Young Neurosurgeons Discussions with the Experts; EC-IC Bypass Surgery; 1980-2025
Young Neurosurgeons Discussions with the Experts; EC-IC Bypass surgery 1980-2025
Young Neurosurgeons Discussions with the Experts; EC-IC Bypass Surgery; 1980-2025
Young Neurosurgeons Discussions with the Experts; EC-IC Bypass Surgery; 1980-2025
Young Neurosurgeons Discussions with the Experts; EC-IC Bypass Surgery; 1980-2025

Endovascular Neurosurgery

1st Latin American Grand Rounds-Part 2 Endovascular Treatment MCA Aneurysms; Dr. Giancarlo Saal Zapata MD; Johan Choque Velasquez MD, PhD., Organizer
1st Latin American Grand Rounds-Part 2 Endovascular Treatment MCA Aneurysms; Dr. Giancarlo Saal Zapata MD; Johan Choque Velasquez MD, PhD., Organizer
1st Latin American Grand Rounds; Endovascular Treatment
1st Latin American Neurosurgery Grand Rounds; MCA Aneurysms; Surgery; Part 1; Surgery;  Dr. Kléber Eduardo González Echiverria  of Ecuador; Dr. Joham Choque-Velasquez; Organizer.
1st Latin American Neurosurgery Grand Rounds; MCA Aneurysms; Surgery; Part 1; Surgery; Dr. Kléber Eduardo González Echiverria of Ecuador; Dr. Joham Choque-Velasquez; Organizer.
Management of MCA Aneurysms; Clip or Coil Part 1 Surgery
Anterior Communicating Artery Aneurysms- Hernesniemi's Perspective.
Anterior Communicating Artery Aneurysms- Hernesniemi's Perspective.
A Com Aneurysms; Hernesniemi Perspective
Building a Neuroscience Center in Punjab Pakistan; Drs Qasim and Asif Bashir; Building a Stroke Center Program
Building a Neuroscience Center in Punjab Pakistan; Drs Qasim and Asif Bashir; Building a Stroke Center Program
Neuroscience Center; Stroke Center in Pakistan.
Clipping or endovascular Treatment for Intracranial Aneurysms; Dr. Raphael Tamargo. Recurrence with endovascular treatment is 20% vs 3% for clipping
Clipping or endovascular Treatment for Intracranial Aneurysms; Dr. Raphael Tamargo. Recurrence with endovascular treatment is 20% vs 3% for clipping
Clipping or Endovascular Treatment for Intracranial Aneurysms: What is best in 2025?
Clipping vs Endovascular Treatment in 2025; Retreatment failure rate for endovascular is 20% and clipping 3%; What is the best? Dr. Rafael Tamargo
Clipping vs Endovascular Treatment in 2025; Retreatment failure rate for endovascular is 20% and clipping 3%; What is the best? Dr. Rafael Tamargo
Clipping vs Endovascular; Treatment of Intracranial Aneurysms. Retreatment failures 20% in endovascular.
EC-IC Bypass for Cerebral Aneurysms, Skull base lesions; Eric Nussbaum, MD -Part 2
EC-IC Bypass for Cerebral Aneurysms, Skull base lesions; Eric Nussbaum, MD -Part 2
EC-IC Bypass for Cerebral Aneurysms, Skull base lesions
EC-IC BYpass for Cerebral Ischemia; Eric Nussbaum, MD; Part 1
EC-IC BYpass for Cerebral Ischemia; Eric Nussbaum, MD; Part 1
Large Volume Clinical Experience, EC-IC Bypass for Cerebral Ischemia
Endovascular Management of Giant Intracrianal Aneurysms; Dr. Angel Ferrario.
Endovascular Management of Giant Intracrianal Aneurysms; Dr. Angel Ferrario.
Management of Giant Cerebral Aneurysms
Glasgow Neuro; YNSS; Abdullah Aziz; Carotid Artery Stenosis
Glasgow Neuro; YNSS; Abdullah Aziz; Carotid Artery Stenosis
Glasgow Neuro; YNSS; Comparaison of CEA, CAS, and TCAR in the treatment of Carotid Stenosis
How we built a Stroke Center program in a LMIC for 160 million people? Qasim Bashir; Asif Bashir
How we built a Stroke Center program in a LMIC for 160 million people? Qasim Bashir; Asif Bashir
Building a Stroke Center program in a LMIC for 160 million. people
How we built a Stroke Program for 130 million people in Pakistan; A. Bashir, MD;   tpa; Interventional Treatment;
How we built a Stroke Program for 130 million people in Pakistan; A. Bashir, MD; tpa; Interventional Treatment;
Building a Stroke Center for 130 million people in Pakistan
Latin American Neurosurgery Grand Rounds; Middle Cerebral Aneurysms; Dr. Kléber Eduardo González Echiverria of Ecuador.  Dr Gonzales-Echiverria; Dr. Joham Choque-Velasquez; Organizer;
Latin American Neurosurgery Grand Rounds; Middle Cerebral Aneurysms; Dr. Kléber Eduardo González Echiverria of Ecuador. Dr Gonzales-Echiverria; Dr. Joham Choque-Velasquez; Organizer;
MCA Aneurysm Treatment Controversy
Management of Cerebral AVMs- >800 cases; Dr. Ghaus Malik; Part 2
Management of Cerebral AVMs- >800 cases; Dr. Ghaus Malik; Part 2
Management of Cerebral AVMs; 800 cases; Dr. Ghaus Malik; Part 2
Management of Cerebral AVMs; Part 1; Dr. Ghaus Malik; >800 cases
Management of Cerebral AVMs; Part 1; Dr. Ghaus Malik; >800 cases
Management of Cerebral AVMs, >800 cases; Dr. Ghaus Malik
Mechanical Thrombectomy for Cerebral Venous Thrombosis(CVST) in Pregnancy: Case Report and Review of Literature; Khalif Abdifatah, MD. Kenya
Mechanical Thrombectomy for Cerebral Venous Thrombosis(CVST) in Pregnancy: Case Report and Review of Literature; Khalif Abdifatah, MD. Kenya
Management of Cerebral Venous Thrombisis
Scrub with me!  Advice from the Experts: How I do it?
Scrub with me! Advice from the Experts: How I do it?
Scrub with me: Advice from the Experts: Cerebral Aneurysm; Hernesniemi
Solving Complex Problems in Neurosurgery and Life
Solving Complex Problems in Neurosurgery and Life
Personal Growth: Solving Complex Problems in Neurosurgery and Life
The Future of Neurosurgery and Medicine; James Ausman MD; Lenticulostriate arteries; Atherosclerosis Treatment; Macrophages and Aneurysm growth; Micron-vascular disease Treatment
The Future of Neurosurgery and Medicine; James Ausman MD; Lenticulostriate arteries; Atherosclerosis Treatment; Macrophages and Aneurysm growth; Micron-vascular disease Treatment
The Future of Neurosurgery 2100-Dr. Ausman's view
Young Neurosurgeons Discussions with the Experts; EC IC Bypass surgery 1980-2025
Young Neurosurgeons Discussions with the Experts; EC IC Bypass surgery 1980-2025
Young Neurosurgeons Discussions with the Experts :1980-2025
Young Neurosurgeons Discussions with the Experts; EC-IC Bypass Surgery 1980-2025
Young Neurosurgeons Discussions with the Experts; EC-IC Bypass Surgery 1980-2025
Young Neurosurgeons Discussions with the Experts; EC-IC Bypass surgery 1980-2025
Young Neurosurgeons Discussions with the Experts; EC-IC Bypass Surgery 1980-2025
Young Neurosurgeons Discussions with the Experts; EC-IC Bypass Surgery 1980-2025
Young Neurosurgeons Discussions with the Experts; EC-IC Bypass Surgery 1980-2025
Young Neurosurgeons Discussions with the Experts; EC-IC Bypass Surgery; 1980-2025
Young Neurosurgeons Discussions with the Experts; EC-IC Bypass Surgery; 1980-2025
Young Neurosurgeons Discussions with the Experts; EC-IC Bypass surgery 1980-2025
Young Neurosurgeons Discussions with the Experts; EC-IC Bypass Surgery; 1980-2025
Young Neurosurgeons Discussions with the Experts; EC-IC Bypass Surgery; 1980-2025
Young Neurosurgeons Discussions with the Experts; EC-IC Bypass Surgery; 1980-2025

Giant Aneurysms

Interventional Neuroradiology

1st Latin American Neurosurgery Grand Rounds; MCA Aneurysms; Surgery; Part 1; Surgery;  Dr. Kléber Eduardo González Echiverria  of Ecuador; Dr. Joham Choque-Velasquez; Organizer.
1st Latin American Neurosurgery Grand Rounds; MCA Aneurysms; Surgery; Part 1; Surgery; Dr. Kléber Eduardo González Echiverria of Ecuador; Dr. Joham Choque-Velasquez; Organizer.
Management of MCA Aneurysms; Clip or Coil Part 1 Surgery
Anterior Communicating Artery Aneurysms- Hernesniemi's Perspective.
Anterior Communicating Artery Aneurysms- Hernesniemi's Perspective.
A Com Aneurysms; Hernesniemi Perspective
Building a Neuroscience Center in Punjab Pakistan; Drs Qasim and Asif Bashir; Building a Stroke Center Program
Building a Neuroscience Center in Punjab Pakistan; Drs Qasim and Asif Bashir; Building a Stroke Center Program
Neuroscience Center; Stroke Center in Pakistan.
Clipping or endovascular Treatment for Intracranial Aneurysms; Dr. Raphael Tamargo. Recurrence with endovascular treatment is 20% vs 3% for clipping
Clipping or endovascular Treatment for Intracranial Aneurysms; Dr. Raphael Tamargo. Recurrence with endovascular treatment is 20% vs 3% for clipping
Clipping or Endovascular Treatment for Intracranial Aneurysms: What is best in 2025?
Clipping vs Endovascular Treatment in 2025; Retreatment failure rate for endovascular is 20% and clipping 3%; What is the best? Dr. Rafael Tamargo
Clipping vs Endovascular Treatment in 2025; Retreatment failure rate for endovascular is 20% and clipping 3%; What is the best? Dr. Rafael Tamargo
Clipping vs Endovascular; Treatment of Intracranial Aneurysms. Retreatment failures 20% in endovascular.
EC-IC Bypass for Cerebral Aneurysms, Skull base lesions; Eric Nussbaum, MD -Part 2
EC-IC Bypass for Cerebral Aneurysms, Skull base lesions; Eric Nussbaum, MD -Part 2
EC-IC Bypass for Cerebral Aneurysms, Skull base lesions
Endovascular Management of Giant Intracrianal Aneurysms; Dr. Angel Ferrario.
Endovascular Management of Giant Intracrianal Aneurysms; Dr. Angel Ferrario.
Management of Giant Cerebral Aneurysms
Glasgow Neuro; YNSS; Abdullah Aziz; Carotid Artery Stenosis
Glasgow Neuro; YNSS; Abdullah Aziz; Carotid Artery Stenosis
Glasgow Neuro; YNSS; Comparaison of CEA, CAS, and TCAR in the treatment of Carotid Stenosis
History of Cerebrovascular Disease Management;  James Ausman; Posterior Circulation Disease; VBI; cerebrovascular disease; surgery; Medical; Interventional; New treatments; Future
History of Cerebrovascular Disease Management; James Ausman; Posterior Circulation Disease; VBI; cerebrovascular disease; surgery; Medical; Interventional; New treatments; Future
History Cerebrovascular Disease; Posterior Circulation Disease; new concepts;
How we built a Neuroscience and Stroke Center in Punjab Pakistan; Drs. Asif Bashir, Qasim Bashir; and Ghaus Malik
How we built a Neuroscience and Stroke Center in Punjab Pakistan; Drs. Asif Bashir, Qasim Bashir; and Ghaus Malik
Building a Neuroscience and Stroke Center in Pakistan
How we built a Stroke Center program in a LMIC for 160 million people? Qasim Bashir; Asif Bashir
How we built a Stroke Center program in a LMIC for 160 million people? Qasim Bashir; Asif Bashir
Building a Stroke Center program in a LMIC for 160 million. people
How we built a Stroke Program for 130 million people in Pakistan; A. Bashir, MD;   tpa; Interventional Treatment;
How we built a Stroke Program for 130 million people in Pakistan; A. Bashir, MD; tpa; Interventional Treatment;
Building a Stroke Center for 130 million people in Pakistan
Management of Cerebral AVMs- >800 cases; Dr. Ghaus Malik; Part 2
Management of Cerebral AVMs- >800 cases; Dr. Ghaus Malik; Part 2
Management of Cerebral AVMs; 800 cases; Dr. Ghaus Malik; Part 2
Management of Cerebral AVMs; Part 1; Dr. Ghaus Malik; >800 cases
Management of Cerebral AVMs; Part 1; Dr. Ghaus Malik; >800 cases
Management of Cerebral AVMs, >800 cases; Dr. Ghaus Malik
Management of SAH in any Environment-An Interactive Discussion
Management of SAH in any Environment-An Interactive Discussion
Managing SAH in any environment; A Interactive Discussion
Management of SAH in any environment; An Interactive Global Discussion
Management of SAH in any environment; An Interactive Global Discussion
Management of SAH in any Environment; An Interactive Global discussion
Mechanical Thrombectomy for Cerebral Venous Thrombosis(CVST) in Pregnancy: Case Report and Review of Literature; Khalif Abdifatah, MD. Kenya
Mechanical Thrombectomy for Cerebral Venous Thrombosis(CVST) in Pregnancy: Case Report and Review of Literature; Khalif Abdifatah, MD. Kenya
Management of Cerebral Venous Thrombisis
Pediatric Neurosurgery; Drs. Verdier, Petre; Argentina; AVM Removal
Pediatric Neurosurgery; Drs. Verdier, Petre; Argentina; AVM Removal
Microsurgical Removal of Posterior, Inferior, Mesial, Temporal, AVM
Scrub with me!  Advice from the Experts: How I do it?
Scrub with me! Advice from the Experts: How I do it?
Scrub with me: Advice from the Experts: Cerebral Aneurysm; Hernesniemi
Solving Complex Problems in Neurosurgery and Life
Solving Complex Problems in Neurosurgery and Life
Personal Growth: Solving Complex Problems in Neurosurgery and Life
Sub-Saharan African Grand Rounds #4; Total meeting; Tele-proctoring; Management of SAH in any Environment
Sub-Saharan African Grand Rounds #4; Total meeting; Tele-proctoring; Management of SAH in any Environment
Grand Rounds Sub-Saharan Africa; Teleproctoring; Management of SAH in any environment
Tele-proctoring in Neurosurgery
Tele-proctoring in Neurosurgery
Use of Tele-proctoring in Neurosurgery
The Future of Neurosurgery and Medicine; James Ausman MD; Lenticulostriate arteries; Atherosclerosis Treatment; Macrophages and Aneurysm growth; Micron-vascular disease Treatment
The Future of Neurosurgery and Medicine; James Ausman MD; Lenticulostriate arteries; Atherosclerosis Treatment; Macrophages and Aneurysm growth; Micron-vascular disease Treatment
The Future of Neurosurgery 2100-Dr. Ausman's view
Young Neurosurgeons Discussions with the Experts; EC IC Bypass surgery 1980-2025
Young Neurosurgeons Discussions with the Experts; EC IC Bypass surgery 1980-2025
Young Neurosurgeons Discussions with the Experts :1980-2025
Young Neurosurgeons Discussions with the Experts; EC-IC Bypass Surgery 1980-2025
Young Neurosurgeons Discussions with the Experts; EC-IC Bypass Surgery 1980-2025
Young Neurosurgeons Discussions with the Experts; EC-IC Bypass surgery 1980-2025
Young Neurosurgeons Discussions with the Experts; EC-IC Bypass Surgery 1980-2025
Young Neurosurgeons Discussions with the Experts; EC-IC Bypass Surgery 1980-2025
Young Neurosurgeons Discussions with the Experts; EC-IC Bypass Surgery 1980-2025
Young Neurosurgeons Discussions with the Experts; EC-IC Bypass Surgery; 1980-2025
Young Neurosurgeons Discussions with the Experts; EC-IC Bypass Surgery; 1980-2025
Young Neurosurgeons Discussions with the Experts; EC-IC Bypass surgery 1980-2025
Young Neurosurgeons Discussions with the Experts; EC-IC Bypass Surgery; 1980-2025
Young Neurosurgeons Discussions with the Experts; EC-IC Bypass Surgery; 1980-2025
Young Neurosurgeons Discussions with the Experts; EC-IC Bypass Surgery; 1980-2025

Intracerebral Hemorrhage

Molecular Basis of Aneurysm Formation

Moya Moya

Other Aneurysms

Small Vessel Disease

Spinal Cord AVMs

Stroke; Cerebral Ischemia & Infarction

Dr. Blaylock Reports #7; Atherosclerosis,  Failure of Statins; Complications; Molecular Basis of Plaque formation.  Immunoexcitotoxicity
Dr. Blaylock Reports #7; Atherosclerosis, Failure of Statins; Complications; Molecular Basis of Plaque formation. Immunoexcitotoxicity
Failure of Statins; Molecular basis of Plaque formation; Atherosclerosis
EC-IC Bypass for Cerebral Aneurysms, Skull base lesions; Eric Nussbaum, MD -Part 2
EC-IC Bypass for Cerebral Aneurysms, Skull base lesions; Eric Nussbaum, MD -Part 2
EC-IC Bypass for Cerebral Aneurysms, Skull base lesions
EC-IC BYpass for Cerebral Ischemia; Eric Nussbaum, MD; Part 1
EC-IC BYpass for Cerebral Ischemia; Eric Nussbaum, MD; Part 1
Large Volume Clinical Experience, EC-IC Bypass for Cerebral Ischemia
Glasgow Neuro-2022; YNSS; Yun Yan Wong; Treatment of Post stroke Cognition problems
Glasgow Neuro-2022; YNSS; Yun Yan Wong; Treatment of Post stroke Cognition problems
Glasgow Neuro; YNSS; Treatment of post-stroke cognition decline; failure of xanthine oxidase Rx
Glasgow Neuro; YNSS; Abdullah Aziz; Carotid Artery Stenosis
Glasgow Neuro; YNSS; Abdullah Aziz; Carotid Artery Stenosis
Glasgow Neuro; YNSS; Comparaison of CEA, CAS, and TCAR in the treatment of Carotid Stenosis
History of Cerebrovascular Disease Management;  James Ausman; Posterior Circulation Disease; VBI; cerebrovascular disease; surgery; Medical; Interventional; New treatments; Future
History of Cerebrovascular Disease Management; James Ausman; Posterior Circulation Disease; VBI; cerebrovascular disease; surgery; Medical; Interventional; New treatments; Future
History Cerebrovascular Disease; Posterior Circulation Disease; new concepts;
How we built a Neuroscience and Stroke Center in Punjab Pakistan; Drs. Asif Bashir, Qasim Bashir; and Ghaus Malik
How we built a Neuroscience and Stroke Center in Punjab Pakistan; Drs. Asif Bashir, Qasim Bashir; and Ghaus Malik
Building a Neuroscience and Stroke Center in Pakistan
How we built a Stroke Center program in a LMIC for 160 million people? Qasim Bashir; Asif Bashir
How we built a Stroke Center program in a LMIC for 160 million people? Qasim Bashir; Asif Bashir
Building a Stroke Center program in a LMIC for 160 million. people
How we built a Stroke Program for 130 million people in Pakistan; A. Bashir, MD;   tpa; Interventional Treatment;
How we built a Stroke Program for 130 million people in Pakistan; A. Bashir, MD; tpa; Interventional Treatment;
Building a Stroke Center for 130 million people in Pakistan
Management of ICH; AVM;  Cavernous Angioma; Cavernoma
Management of ICH; AVM; Cavernous Angioma; Cavernoma
Global Management of ICH from different causes.
Management of SAH in any Environment-An Interactive Discussion
Management of SAH in any Environment-An Interactive Discussion
Managing SAH in any environment; A Interactive Discussion
Management of SAH in any environment; An Interactive Global Discussion
Management of SAH in any environment; An Interactive Global Discussion
Management of SAH in any Environment; An Interactive Global discussion
Pediatric Neuro-Critical Care: Improvements in Survivals
Pediatric Neuro-Critical Care: Improvements in Survivals
Pediatric Neuro-Critical Care: Improvements in Survivals
The Future of Neurosurgery and Medicine; James Ausman MD; Lenticulostriate arteries; Atherosclerosis Treatment; Macrophages and Aneurysm growth; Micron-vascular disease Treatment
The Future of Neurosurgery and Medicine; James Ausman MD; Lenticulostriate arteries; Atherosclerosis Treatment; Macrophages and Aneurysm growth; Micron-vascular disease Treatment
The Future of Neurosurgery 2100-Dr. Ausman's view
UCLA 101 Neurosurgery Series; EC-IC Bypass for Moyamoya and Cerebral Ischemia; Jacques Morcos
UCLA 101 Neurosurgery Series; EC-IC Bypass for Moyamoya and Cerebral Ischemia; Jacques Morcos
UCLA 101 Neurosurgery Series; Jacques Morcos; EC-IC bypass for Moya-Moya and CVD; intraoperative flow measurements
Young Neurosurgeons Discussions with the Experts; EC IC Bypass surgery 1980-2025
Young Neurosurgeons Discussions with the Experts; EC IC Bypass surgery 1980-2025
Young Neurosurgeons Discussions with the Experts :1980-2025
Young Neurosurgeons Discussions with the Experts; EC-IC Bypass Surgery 1980-2025
Young Neurosurgeons Discussions with the Experts; EC-IC Bypass Surgery 1980-2025
Young Neurosurgeons Discussions with the Experts; EC-IC Bypass surgery 1980-2025
Young Neurosurgeons Discussions with the Experts; EC-IC Bypass Surgery 1980-2025
Young Neurosurgeons Discussions with the Experts; EC-IC Bypass Surgery 1980-2025
Young Neurosurgeons Discussions with the Experts; EC-IC Bypass Surgery 1980-2025
Young Neurosurgeons Discussions with the Experts; EC-IC Bypass Surgery; 1980-2025
Young Neurosurgeons Discussions with the Experts; EC-IC Bypass Surgery; 1980-2025
Young Neurosurgeons Discussions with the Experts; EC-IC Bypass surgery 1980-2025
Young Neurosurgeons Discussions with the Experts; EC-IC Bypass Surgery; 1980-2025
Young Neurosurgeons Discussions with the Experts; EC-IC Bypass Surgery; 1980-2025
Young Neurosurgeons Discussions with the Experts; EC-IC Bypass Surgery; 1980-2025

Molecular Basis of CVD

Lacunar Infarcts

Post Stroke Cognition Rx: Xanthine Oxidase